5 Địa Chỉ Điều Trị Sùi Mào Gà Tại Vinh Nghệ An Uy Tín Triệt Để
Bạn muốn tìm địa chỉ điều trị sùi mào gà tại vinh nghệ an uy tín triệt để nhất? Sùi mào gà là căn bệnh xã hội chủ yếu lây nhiễm qua quan hệ tình dục không an toàn do virut sùi mào gà HPV gây nên. Ngày nay, do lối sống thoáng nên hiện trạng mắc bênh xã hội như: sùi mào gà, lậu, giang mai…rất phổ biến ở cả nam và nữ. Tuy nhiên để điều trị triệt để sùi mào gà tại vinh nghệ an thì các bạn phải tìm được địa chỉ uy tín cho mình.
Hiện nay với sự phát tiển vượt bậc của y học, đã có rất nhiều cách chữa bệnh sùi mào gà ra đời, nhằm đáp ứng nhu cầu của mọi người một cách hoàn thiện hơn. Qua bài viết dưới đây chúng tôi xin được giới thiệu đến các bạn các cách chữa bệnh sùi mào tại tp vinh nghệ an gà hiệu quả, giúp bạn có được sự lựa chọn đúng đắn hơn cho mình khi chẳng may mắc phải căn bệnh nguy hiểm này. Bạn đọc cùng tham khảo nhé!
Mục lục
Bệnh sùi mào gà là gì?
Sùi mào gà hay còn gọi là bệnh mồng gà, là một trong các bệnh xã hội phổ biến hiện nay. Bệnh sùi mào gà thường xuất hiện tại cơ quan sinh dục của nam giới và phụ nữ. Bệnh chủ yếu lây qua đường tình dục không an toàn do virut HPV (Human papilloma virus) gây ra.

Thông thường thời gian ủ bệnh từ 2 đến 9 tháng mới xuất hiện các triệu chứng đầu tiên của bệnh. Nên điều trị bệnh sớm ngay khi phát hiện ra bệnh nếu để lâu sẽ dẫn tới các biến chứng như ung thư tử cung(đối với nữ giới) hay ung thư dương vật(đối với nam giới).
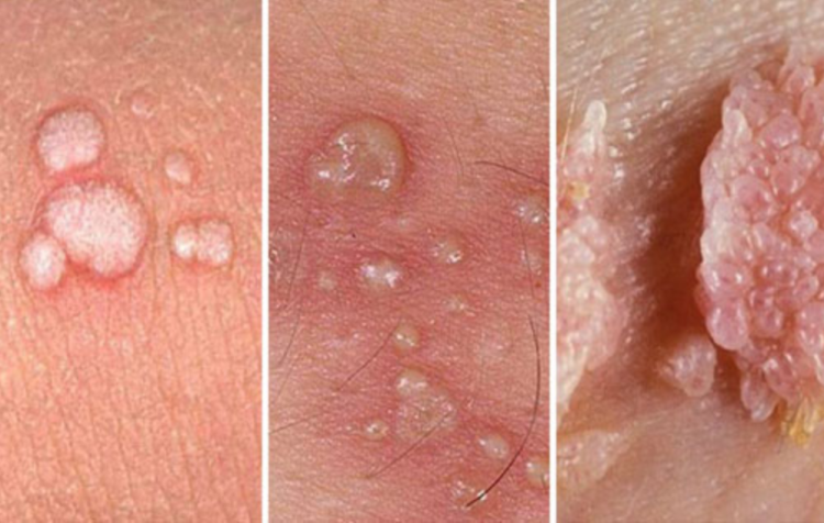
Sùi mào gà là bệnh lý lây nhiễm chủ yếu qua đường tình dục với tốc độ lây nhiễm cao nhất hiện nay hơn cả giang mai hay lậu. Đây là bệnh lý phát sinh do quan hệ tình dục không an toàn. Tỉ lệ mắc sùi mào gà ở cả nam và nữ là hoàn toàn giống nhau. Biểu hiện ban đầu là những nốt mụn nhỏ, màu hồng, mọc ở các bộ phận nhạy cảm trên cơ thể, sờ vào hoàn toàn không đau, ngứa hay bất kì khó chịu gì nhưng khi có va chạm sẽ rất dễ chảy máu. Nếu bệnh nhân không tích cực điều trị thì những nốt sùi này sẽ mọc nhiều hơn và liên kết với nhau tạo thành những mảng sùi lớn như hình súp lơ hay mào gà.
Sùi mào gà lây nhiễm chủ yếu qua đường tình dục nhưng vẫn có những nguyên nhân khác như lây từ mẹ sang con, lây nhiễm do sử dụng chung đồ dùng cá nhân đối với người bệnh hoặc có những tiếp xúc tình dục (dù chưa quan hệ) đối với người bệnh.
Xem thêm bài viết: Top 10 phòng khám nam khoa ở TP Vinh, Nghệ An uy tín
Nguyên nhân gây bệnh sùi mào gà
Có nhiều nguyên nhân gây ra bệnh sùi mào gà nhưng phổ biến nhất là do quan hệ tình dục với đối tác đang mang bệnh nhưng không dùng bao cao su. Đối tượng mắc bệnh nhiều nhất là nam giới thường xuyên có các hoạt động mua dâm, massage, tẩm quất trá hình, các cô gái làm nghề mại dâm, những người có xu hướng quan hệ tình dục bừa bãi, nhiều bạn tình trong một thời điểm, tình một đêm.
Nữ giới bị bệnh sùi mào gà trong thời kì mang thai có thể lây cho thai nhi ngay từ khi còn trong bụng mẹ hoặc lúc trở dạ.
Những người có sức đề kháng kém, vô tình tiếp xúc với dịch nhầy, mủ, máu hoặc các vết thương hở của người bệnh cũng có thể lây nhiễm bệnh sùi mào gà.
Những người mang virut HIV-AIDS, đối tượng chích ma túy có nguy cơ cao nhiễm virut sùi mào gà hơn đối tượng thông thường. Virut HPV có thể lây truyền ngay cả khi quan hệ tình dục qua miệng, hậu môn hoặc các tiếp xúc ngoài.
Các phương pháp chữa trị bệnh sùi mào gà
Khi phát hiện có những dấu hiệu của bệnh thì bệnh nhân nên tới cơ sở y tế gần nhất để khám, tại Nghệ An Phòng khám đa khoa Vạn Phúc là một trong những Phòng khám nam khoa tại Vinh, Nghệ An uy tín nhất. Tại đây các bác sĩ đưa ra các phương pháp chữa trị hiệu quả như:
- Chữa sùi mào gà bằng phương pháp đốt điện
Đây là phương pháp điều trị tương đối cũ nhưng vẫn có cơ sở duy trì đến hiện nay. Phương pháp này thông qua sự đốt nóng từ dòng điện cao tầng để loại trừ hoàn toàn những u sùi. Phương pháp này có đặc điểm là hiệu qủa và đơn giản. Cách trị sùi mào gà có thể loại bỏ trực tiếp những thể sùi mào gà trừ sùi khô. Nhưng phương pháp này có nhược điểm là vùng da sau khi điều trị rất lâu phục hồi. Nếu quyết định sử dụng phương pháp này, bạ:n nên tìm kiếm những bác sĩ có tay nghề cao để tránh để lại sẹo.
- Chữa sùi mào gà bằng phương pháp laser
Với cơ thể nam giới, sùi mào gà hay xuất hiện ở quy đầu, bao quy đầu, rãnh quy đầu, phanh hãm bao quy đầu, miệng niệu đạo, số ít xuất hiện trên thân dương vật. Những người có quan hệ đồng tính, sùi mào gà còn mọc xung quanh trực tràng, hậu môn. Còn đối với nữ giới, những nốt sùi mào gà mọc ở hậu môn, môi bé, môi lớn, âm đạo, cổ tử cung, … có khi mọc dưới ngực, nách, … hay bệnh còn dễ phát tác với bệnh nhân mang bệnh lậu mãn tính, dài quy đầu hay khí hư nhiều. Việc điều trị sùi mào gà bằng laser giúp loại bỏ những nốt sùi trên da, bệnh lý khó tái phát. Bề mặt khi nốt sùi bị đốt phục hồi rất chậm, dễ viêm nhiễm. Phương pháp đốt sùi bằng laser phù hợp với những ai có nốt sùi to, độc lập. Nên tránh đốt sùi ở dây phanh hãm bao quy đầu để tránh ảnh hưởng chức năng sinh lý của quý ông.
- Chữa sùi mào gà bằng thuốc

Sử dụng vài loại dung dịch để bôi trực tiếp lên nốt sùi mào gà theo hướng dẫn sử dụng. Sau khi đã khỏi hẳn những tổn thương do bệnh lý này gây ra, bệnh nhân vẫn cần dùng thuốc chấm nhắc lại sau một tuần (lặp lại vài lần như thế). Khi dùng thuốc, nếu thấy phản ứng quá mạnh, bệnh nhân nên dùng cách quãng lâu hơn. Với nam giới, phương pháp dùng thuốc như trên không thể chữa được các tổn thương ở bên trong bao quy đầu.
5 Địa chỉ điều trị sùi mào gà tại TP Vinh Nghệ An
Dưới đây, xunghe360.vn xin bật mí cho các bạn 5 địa chỉ điều trị sùi mào gà triệt để tại tp vinh nghệ an – Khám nam khoa tại vinh nghệ an. Các bạn cùng tham khảo nhé!
1. Phòng khám đa khoa Vạn Phúc
Địa chỉ: Tầng 4, toà nhà Mai Linh, đại lộ Lê Nin, TP.Vinh, Nghệ An
Điện thoại: Đang cập nhật
Phòng khám Vạn Phúc là địa chỉ khám nam khoa uy tín tín Vinh Nghệ an chuyên điều trị triệt để các bệnh xã hội trong đó có bệnh sùi mào gà. Với đội ngũ nhân viên có kinh nghiệm, cơ sở vật chất đảm bảo, trình độ tay nghề cao…Vạn Phúc là địa chỉ bạn nên đến thăm khám nếu không may có dấu hiệu bệnh.
2. Phòng khám Ngọc Linh
Cũng như phòng khám Vạn Phúc. Phòng khám Ngọc Linh cũng là một trong những địa chỉ khám nam khoa – chữa trị các bệnh xã hội uy tín hàng đầu tại Vinh Nghệ An. Các bạn nên đến đây để được tư vấn và điều trị hợp lý nhé.
Với sự hoàn thiện về y tế trên mọi mặt, phòng khám Ngọc Linh đã nhận được rất nhiều phản hồi tích cực của tất cả các khách hàng. Bên cạnh đó, phòng khám Ngọc Linh với trang thiết bị hiện đại nhằm phục vụ tối đa quá trình khám chữa. Chính vì vậy tính cho đến thời điểm hiện tại, phòng khám Ngọc Linh đang là địa điểm điều trị sùi mào gà được nhiều khách hàng tin cậy hàng đầu tại TP. Vinh.
Địa chỉ: Số 01 đường Lê Viết Thuật – Tp Vinh – tỉnh Nghệ An
Số điện thoại: 0988.442.359 – 0948.854.726
Gọi Tư Vấn 0988.442.359 | 0948.854.726
3. Phòng Khám Nam Chung
Địa chỉ: Đường Phạm Đình Toái, Nghi Phú, Tp.Vinh, Tỉnh Nghệ An.
Điện thoại: Đang cập nhật
Với cơ sở vật chất hiện đại, đội ngũ nhân viên y bác sĩ tay nghề cao cùng với môi trường sạch sẽ. Phòng khám Nam Chung là nơi bạn nên tìm đến để điều trị căn bệnh khó nói của mình nếu chẳng may mắc phải. Đây là địa chỉ đáng tin cậy và nhiều người đã điều trị bệnh sùi mào gà, lậu thành công đấy các bạn ạ.
4. Phòng Khám Sản Khoa – Hiếm Muộn Vô Sinh TÂM AN
Địa chỉ: Đường Lý Tự Trọng, TP Vinh Nghệ An
Điện thoại: Đang cập nhật
Với đội ngũ nhân viên có kinh nghiệm, cơ sở vật chất đảm bảo, trình độ tay nghề cao…Vạn Phúc là địa chỉ bạn nên đến thăm khám nếu không may có dấu hiệu bệnh. Phòng khám áp dụng phương pháp ALA-PDT. Đây là phương pháp tiên tiến hàng đầu thế giới hiện nay, là liệu pháp quang động (quang trị liệu) sử dụng các hợp chất nhạy sáng không độc hại được tiếp xúc với ánh sáng có chọn lọc và oxy để tiêu diệt các tế bào bệnh, vi khuẩn, nấm, virus. Phương pháp ALA-PDT với ưu điểm vượt trội như chữa trị nhanh chóng, không đau đớn, ngăn ngừa nguy cơ bệnh tái phát… chính là lựa chọn tốt nhất để chữa sùi mào gà hiện nay.
5. Phòng khám nam khoa & Hiếm muộn
Địa chỉ : Phong Định Cảng, Tp Vinh, Tỉnh Nghệ An
Gọi ngay : Đang cập nhật
Lý do bạn nên điều trị sùi mào gà tại Tp Vinh Nghệ An đối với 5 phòng khám trên
Với nhiều năm kinh nghiệm trong việc khám chữa bệnh xã hội và đã chữa khỏi cho nhiều bệnh nhân mắc bệnh sùi mào gà, các phòng khám trên được xem là một trong những cơ sở y tế uy tín nhất tại Vinh, Nghệ An. Đến với chúng tôi, bệnh nhân sẽ hoàn toàn yên tâm, bởi:
Được Sở Y Tế cấp giấy phép hoạt động: Là địa chỉ khám chữa bệnh xã hội đạt tiêu chuẩn chuyên khoa, uy tín, chất lượng tại Vinh, Nghệ An.
Đội ngũ y bác sĩ giỏi : Trình độ chuyên môn cao, nhiều năm kinh nghiệm và đã từng làm việc tại các bệnh viện đầu ngành.
Phương pháp điều trị hiện đại : Luôn áp dụng những phương pháp điều trị hiện đại – tiên tiến, không gây đau đớn, điều trị dứt điểm và không để bệnh tái phát, tiết kiệm thời gian cũng như chi phí cho bệnh nhân.
Cơ sở vật chất : Thiết bị y tế hiện đại được nhập khẩu từ nước ngoài, được Sở Y Tế thẩm định, mang đến cảm giác thoải mái cho người bệnh.
Chi phí điều trị : Tất cả các khoản chi phí khám chữa sùi mào gà bệnh được công khai với người bệnh trước khi tiến hành điều trị.
Thái độ phục vụ chuyên nghiệp : Thái độ phục vụ, chăm sóc bệnh nhân ân cần và chuyên nghiệp, sức khỏe của bệnh nhân là điều mà chúng tôi luôn quan tâm hàng đầu.
Bảo mật thông tin : Hiểu được tâm lý e ngại của người bệnh nên phòng khám luôn đảm bảo việc bảo mật thông tin cá nhân của bệnh nhân, giúp người bệnh an tâm hơn khi điều trị.
Hi vọng với những chia sẻ trên đây của chúng tôi về bệnh sùi mào gà – nguyên nhân và cách chữa trị cũng với 5 địa điểm điều trị sùi mào gà triệt để tại TP Vinh Nghệ An sẽ giúp toàn thể bạn đọc nắm bắt rõ hơn về căn bệnh khó nói này cũng như tìm được cho mình một địa chỉ hợp lý để thăm khám tránh tiền mất tật mang các bạn nhé! Ngoài ra nếu các bạn muốn có nhu cầu tìm hiểu thêm về địa chỉ cắt bao quy đầu tại tp vinh nghệ an thì tham khảo qua bài viết: 5 Địa Chỉ Cắt Bao Quy Đầu Tại TP Vinh Nghệ An Uy Tín Giá Rẻ